본문 바로가기
정형외과/소아

일과성 고관절 활액막염 (Transient synovitis of the hip)

by 파트라송 2025. 7. 24.
728x90
반응형

일과성 고관절 활액막염이란?

일과성 고관절 활액막염(Transient Synovitis of the Hip)은 고관절의 활액막(관절을 싸고 있는 얇은 막)에 일시적으로 염증이 생겨 통증이 나타나는 소아의 흔한 질환입니다. 주로 3~12세 사이의 어린이, 특히 남아에서 2~3배 많게 발생합니다. 이 질환은 특별한 치료 없이 며칠 내에 자연스럽게 호전되는 경향이 있어 '일과성'이라는 이름이 붙었습니다.

 

 

 

주요 특징 및 증상

 

갑작스럽게 나타나는 고관절 통증 (서혜부 또는 허벅지, 무릎에도 통증이 방사 가능)

 

절뚝거리며 걷거나 다리를 움직이려 하지 않음

 

고관절을 움직일 때 운동 범위 제한 (양반다리를 하거나 다리를 꼬거나 하는 동작이 어려워짐)

 

때때로 미열이 동반될 수 있음

 

원인

 

일과성 고관절 활액막염의 원인은 명확하게 밝혀져 있지 않습니다. 하지만 여러 연구와 임상경험에 따르면 다음과 같은 요인들이 연관되어 있다고 알려져 있습니다.

 

바이러스 감염 후 발생: 감기, 중이염, 바이러스성 장염 등 상기도 감염이나 기타 바이러스 질환을 앓고 난 뒤에 자주 발생하는 경향이 있어, 바이러스 감염에 따른 면역 반응 또는 후유증이 주요 원인으로 추정되고 있습니다.

 

알레르기성 과민반응: 알레르기 체질이거나 면역 반응이 과도하게 활성화된 경우에도 발생할 수 있다는 보고가 있습니다.

 

외상: 고관절 주변에 가벼운 외상이 선행된 경우도 있으나, 과거 외상과 직접적인 인과관계는 아직 명확하지 않습니다.

 

기타: 전체의 약 30% 정도에서는 위와 같은 뚜렷한 선행 원인 없이 발생하기도 하며, 아직 밝혀지지 않은 기전이 존재할 가능성도 있습니다.

 

진단

 

주로 병력과 증상, 신체진찰을 통해 진단하며, 필요시 아래 검사가 시행될 수 있습니다.

굴곡 내회전 및 외회전시 통증호소, 양반다리시 통증호소

 

저항이나 능동적으로 다리를 들어올리기가 어려움

 

X-ray: 다른 질환(, 대퇴골두 무혈관성 괴사)과 감별

 

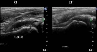
초음파: 고관절 내 액체 증가(염증 소견) 확인

좌: 화살표 검은음영으로 보이는 액체증가소견 우: 반대편 정상모습
MRI: 화살표부위 밝은음영의 관절액의 증가소견

혈액검사: 염증수치 확인 등

 

반응형
300x250

치료 및 경과

 

침상 안정, 휴식이 가장 중요

 

일부에서는 진통제 및 소염제 사용으로 증상 조절

 

대부분 3~10일 이내 완전히 호전되며, 후유증 없이 회복되는 자가 제한적 질환임

 

드물게 증상이 지속되거나 의심스러운 경우에는 반드시 소아정형외과 전문의 진료 필요

 

감별이 중요한 질환(고관절 화농성 관절염, 대퇴골두 무혈관 괴사 등)이 있어 정확한 진단이 중요

 

⚑요약

일과성 고관절 활액막염은 3~12세 소아에서 흔히 나타나는, 특별한 치료 없이 휴식만으로도 호전되는 일시적 고관절 염증 질환입니다. 아이가 절뚝거리거나 고관절 통증을 호소하면 빠른 진료가 필요하며, 대부분 일주일 이내 좋아지지만, 다른 심각한 질환과 감별이 필수입니다

300x250
반응형