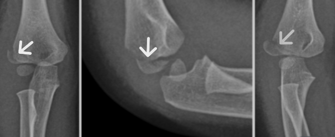
**소아 외과 골절**은 소아(어린이)에서 발생하는 뼈의 골절 중 특히 관절 부위, 즉 뼈의 끝부분(상완골 원위부 등)에서 발생하는 골절을 의미합니다. 대표적으로 상완골 외과 골절(lateral condylar fracture of the humerus)이 있으며, 이는 소아에서 두 번째로 흔한 상완골 원위부 골절입니다.
♼ 소아 외과 골절의 특징
*발생 부위: 주로 팔꿈치 관절 부위(상완골 원위부, 외측과)에서 많이 발생합니다. 소아의 경우 팔을 펴고 넘어지면서 손을 짚을 때(FOOSH injury) 잘 생깁니다.

*해부학적 특성: 소아의 뼈는 아직 완전히 골화되지 않았고, 성장판이 남아 있어 성인과는 다른 골절 양상(불완전 골절, 성장판 손상 등)을 보입니다.
*성장판 손상: 외과 골절은 성장판을 침범할 수 있어, 성장 장애나 변형의 위험이 있습니다. 하지만 대부분의 경우 소아의 뼈는 재형성 능력이 뛰어나 변형이 생겨도 시간이 지나면서 교정되는 경우가 많습니다.

*치유와 예후: 소아는 뼈의 치유와 재형성 과정이 성인보다 빠릅니다. 골절 후 변형이 생겨도 성장판의 재정렬 등으로 자연 교정되는 경우가 많으나, 성장판 손상이 심할 경우 성장 장애가 남을 수 있습니다.
♼ 소아 외과 골절의 진단과 치료
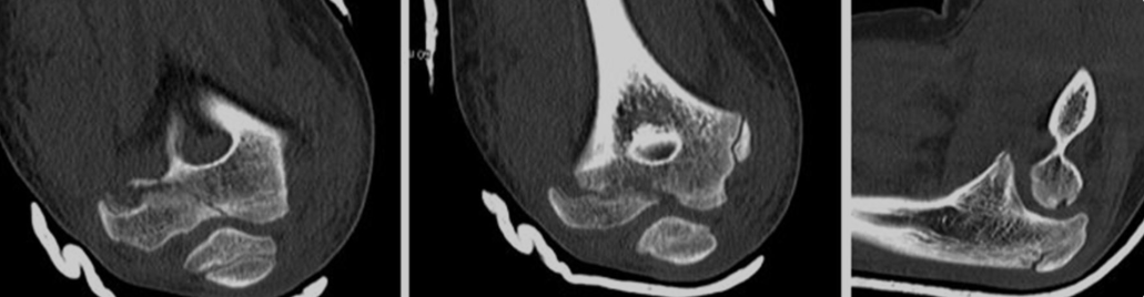
♦ 진단: X-ray,CT,MRI 등 영상의학적 검사를 통해 골절의 위치, 형태, 전위 여부, 성장판 침범 여부 등을 확인합니다. 소아의 뼈는 연골 부위가 많아 성인보다 진단이 어려운 경우가 있습니다.



♦ 치료
1.비수술적 치료: 대다수의 소아 골절은 뼈의 재생 능력이 뛰어나 석고 고정(기브스) 등 비수술적 치료로도 좋은 결과를 얻을 수 있습니다.

2.수술적 치료: 골절의 전위가 심하거나 관절면, 성장판을 침범한 경우, 또는 비수술적 치료로 정복이 어려운 경우에는 금속 핀, 고정술 등 수술적 치료가 필요할 수 있습니다.

♦ 합병증: 성장판 손상으로 인한 성장 장애, 변형, 관절 운동 제한 등이 있을 수 있으나, 대부분은 적절한 치료와 추적 관찰로 관리가 가능합니다.

♼ 소아 외과 골절의 주요 골절 유형 특징 및 발생 기전
상완골 외과 골절 : 팔꿈치 바깥쪽(외측과) 골절, 팔을 펴고 넘어질 때 발생, 성장판 손상 위험
과상 골절 (supracondylar): 상완골 원위부에서 가장 흔함, 팔을 펴고 넘어질 때 발생
성장판 골절 성장판(골단판): 손상, 성장 장애 위험
♼ 소아 외과 골절의 주의점
소아의 뼈는 성인과 달리 유연하고 골막이 두꺼워 완전 골절이 아니거나 변형이 쉽게 교정될 수 있습니다.
성장판 손상 여부를 반드시 확인해야 하며, 성장 장애 가능성이 있으므로 장기적인 추적 관찰이 필요합니다.
치료는 가능한 한 비수술적 방법을 우선으로 하되, 정복이 어렵거나 전위가 심한 경우에는 수술적 치료를 고려합니다.
결론적으로, 소아 외과 골절은 성인과는 다른 해부학적·생리적 특성을 갖고 있으며, 성장판 손상 여부와 뼈의 재생 능력을 고려한 맞춤 치료가 필요합니다.
주인장 뇌피셜 : 소아에서 외과 골절은 후유증이나 합병증이 생길수 있는 경우가 많아 적절한 병원방문 및 적극적인 치료가 필요함.
'정형외과 > 소아' 카테고리의 다른 글
| 오스굿-슐라터병(Osgood-Schlatter Disease) (33) | 2025.08.31 |
|---|---|
| 소아 수부 선천성 기형 (36) | 2025.08.22 |
| 소아의 팔꿈치 아탈구( Pulled elbow ) (31) | 2025.08.21 |
| 일과성 고관절 활액막염 (Transient synovitis of the hip) (2) | 2025.07.24 |
| 시버병(Sever's disease), 종골단염 (3) | 2025.07.18 |