이상근증후군(좌골신경포착증후군, Piriformis Syndrome)은 엉덩이 근육 중 하나인 이상근(piriformis muscle)이 그 아래를 지나가는 좌골신경(sciatic nerve)을 압박하거나 자극하면서 발생하는 질환입니다. 이로 인해 허리디스크와 유사하게 엉덩이, 허벅지 뒤쪽, 종아리, 또는 발까지 저림, 당김, 통증, 무감각, 이상감각 등이 나타날 수 있습니다.

♼ 주요 내용
이상근은 고관절을 바깥으로 돌리는 기능을 하는 근육으로, 신경이 지나가는 자리와 가깝기 때문에 여러 원인에 의해 두꺼워지거나 긴장할 때 좌골신경을 압박할 수 있습니다.

♼ 증상
엉덩이 중심의 통증이 특징적이며, 다리 뒤쪽으로 통증이 뻗는 방사통이 종종 동반됩니다.

오래 앉아 있거나 딱딱한 곳에 앉았다 일어날 때, 또는 고관절을 회전시키는 동작에서 증상이 심해질 수 있습니다.
심한 경우 허리, 사타구니, 항문 주변, 허벅지, 다리, 발 등에서도 통증이나 저림이 나타납니다.
♼ 원인
외상(엉덩방아, 교통사고), 근육 과사용(장거리달리기, 근력운동), 비정상적인 자세나 습관(다리 꼬기, 책상다리, 장시간 앉기, 준비운동 없이 운동) 등이 대표적인 유발요인입니다.

근육 비대, 골반 구조의 이상, 다리 길이 차이, 임신, 비만 등 신체적 특성도 영향을 미칠 수 있습니다.



드물게 수술(예:인공관절) 후 합병증으로도 나타날 수 있습니다.

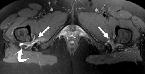
♼ 진단
주로 증상과 이학적 검사로 진단하며, 필요시 MRI, 초음파, CT 등을 통해 다른 원인 감별 및 이상근의 상태, 좌골신경 압박 여부를 확인합니다.



허리디스크 등과 구별이 중요하기 때문에 정확한 진단이 필요합니다.
♼ 치료
1. 생활습관 개선 및 자세 교정
오래 앉아 있거나 다리 꼬기, 양반다리 등 이상근에 부담을 주는 자세를 피해야 합니다.
장시간 앉아야 할 때는 1시간마다 10분 정도 일어나 움직여주는 습관이 필요합니다.
2. 스트레칭 및 운동 요법
이상근 및 엉덩이 근육을 이완하는 스트레칭이 통증 완화와 재발 방지에 중요합니다.
고관절 주위 근육(특히 대둔근, 중둔근) 강화 운동이 권장됩니다.

대표적인 운동:
반듯이 누운 후 한쪽 무릎을 가슴 쪽으로 당겨 30초간 유지.
클램쉘(clamshell) 운동: 옆으로 누운 자세에서 무릎을 구부린 채 위쪽 무릎을 천천히 들어 올렸다 내리기를 반복.

브릿지(bridge) 운동: 무릎을 세운 채 누운 뒤 엉덩이를 들어 올렸다 내리기를 반복.

3. 물리치료 및 도수치료
물리치료를 통해 근육 이완, 유연성 증가, 통증 감소 등 효과를 기대할 수 있습니다.
도수치료: 치료사가 직접 통증 부위를 눌러주거나 연부조직, 관절을 마사지 및 정렬시켜주는 방법도 활용됩니다.
4. 약물치료
비스테로이드성 소염진통제(NSAIDs), 근이완제 등의 약물을 통해 통증을 조절합니다.
5. 주사치료 (초음파유도하 주사 등)
물리치료와 약물치료로 호전이 되지 않거나 통증이 심한 경우, 국소마취제나 스테로이드 주사를 초음파 유도하에 이상근 부위에 직접 주입해 좌골신경의 압박과 염증을 완화할 수 있습니다.

6. 기타 치료
체외충격파 치료 등도 일부 환자에서 시행될 수 있습니다.

7. 수술적 치료
매우 드물게 모든 비수술적 치료에 반응하지 않는 만성적, 극심한 경우에는 수술을 고려할 수 있으나, 대부분의 환자에서는 필요하지 않습니다.

초기에는 적극적인 비수술 치료로 대부분 증상이 개선되므로, 통증이 지속된다면 전문의 상담 후 정확한 진단과 치료 방향을 결정하는 것이 중요합니다
⚑요약
이상근증후군은 엉덩이의 깊은 근육(이상근)이 좌골신경을 눌러 발생하는 신경포착증후군으로, 엉덩이와 다리 뒤쪽으로 이어지는 통증이 주된 증상입니다. 허리디스크와 증상이 비슷하지만 주요 차이점과 원인(신체구조·자세·외상 등), 치료법(운동·약물·생활습관 개선 등)이 있으므로 정확한 감별진단과 전문의 상담이 필요합니다
'정형외과 > 고관절' 카테고리의 다른 글
| 중둔근(엉덩이 근육, Gluteus medius) (9) | 2025.09.20 |
|---|---|
| 노인의 고관절 주변 골절(대퇴골 경부 및 전자간 골절) (45) | 2025.08.25 |
| 대퇴골두 무혈성 괴사 (Avascular necrosis of the femoral head) (42) | 2025.08.20 |
| 대퇴 비구 충돌증후군(Femoroacetabular Impingement, FAI) (5) | 2025.07.19 |