본문 바로가기
정형외과/척추 및 골반

미추통(꼬리뼈통증)

by 파트라송 2025. 7. 30.
728x90
반응형

미추통(미골통, coccydynia)은 척추의 가장 아래에 위치한 미추(꼬리뼈) 부위에 발생하는 통증을 말합니다. 주로 앉거나, 단단한 바닥에 앉을 때 통증이 심해지는 것이 특징이며, 남성보다 여성에서 5배 정도 더 흔하게 발생합니다. 발생 연령은 다양하지만, 평균적으로 40세 전후에 흔합니다.

 

 

주요 증상

 

꼬리뼈 주위 통증: 엉덩이 끝, 미추 부위의 국소 통증

 

앉거나 일어설 때 통증이 심해짐

 

단단한 바닥에 앉을 때 통증 악화

 

통증이 엉치 또는 회음부로 방사될 수 있음

 

주요 원인

 

외상: 넘어지면서 꼬리뼈를 부딪힌 경우, 출산 시 미추에 충격이 가해진 경우가 대표적입니다.

 

비만: 체중이 많이 나가면 미추에 가해지는 압력이 증가하여 쉽게 통증이 생깁니다.

 

자세, 생활습관: 오래 앉아 있거나, 자전거·오토바이 운전 등 꼬리뼈에 반복적으로 압력이 가해지는 경우

 

미추의 해부학적 이상(과도하게 눕혀지거나 휘어진 경우)

 

그 외에도 감염, 낭종, 골절, 외상성 관절염, 종양, 디스크 질환 등 다양한 원인이 있을 수 있습니다.

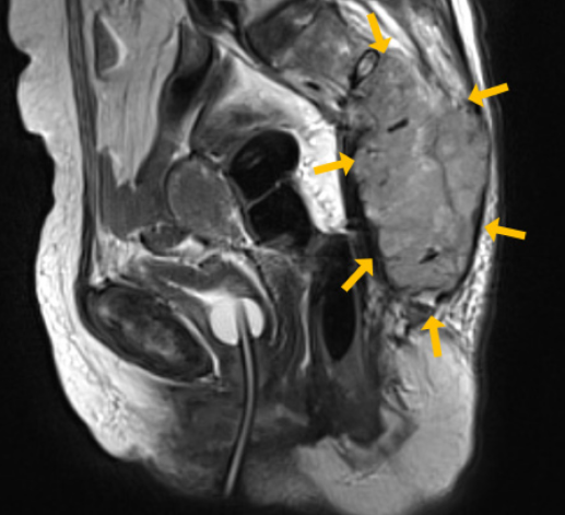
MRI상 꼬리뼈부위의 전이암

 

진단

 

병력 청취와 이학적 검사: 통증 부위를 직접 눌러 심한 압통(누르면 아픈 통증) 확인

 

영상 검사: X-ray, CT, MRI 등을 통해 골절, 탈구, 감염, 종양 여부 등을 평가

x-ray 및 MRI상 골절등을 확인.

 

통증 부위에 국소 마취제 주사 후 통증 완화 여부로 진단과 치료를 동시에 진행할 수 있습니다.

 

반응형
300x250

치료

 

보존적 치료: 대부분의 미추통 환자는 부드러운 의자 및 방석, 바른 자세등의 생활습관 개선, 온열치료, 소염진통제등 보존적 치료에 잘 반응합니다.

 

도넛형태의 방석

 

국소 주사 치료: 통증 부위에 국소 마취제와 스테로이드를 주사하여 통증 완화

꼬리뼈 부위의 국소주사치료

 

드물게 보존적 치료에도 반응이 없는 난치성 미추통에서는 수술적 치료(미추 절제술 등)를 고려할 수 있습니다.

 

원인이 골절, 종양, 감염 등 특수한 경우에는 그에 맞는 치료가 필요합니다.

 

유의점

 

미추통은 대개 양성 경과를 보이지만, 다른 원인 질환(종양, 감염, 디스크 등)의 가능성이 있으므로 원인 감별이 중요합니다.

 

미추 부위를 눌러도 전혀 아프지 않다면, 항문거근 증후군 등 다른 원인을 의심해야 합니다.

 

 

⚑ 미추통이란 꼬리뼈 부위가 아프며, 특히 단단한 바닥에 앉을 때 통증이 심해지고, 대부분 보존적 치료에 효과가 좋으나, 드물게 수술이 필요한 경우도 있다.

 

300x250
반응형