부주상골 증후군은 발 안쪽의 주상골 옆에 붙어 있는 추가 뼈인 부주상골이 정상적으로 유합되지 못한 상태로, 이로 인해 통증과 발목 염좌, 부종 등의 증상을 일으키는 질환입니다. 부주상골은 5~15% 인구에서 선천적으로 나타나는 흔한 기형이며, 주로 성장기 청소년이나 소아에게서 많이 발생합니다. 발목 부상 등 외상으로 인해 부주상골과 주상골 결합 부위가 분리되면서 후천적으로 발생하기도 합니다.
♼ 빈도
전체 인구의 약 5~15% 정도에서 부주상골이 발견되며, 이 중 약 10% 내외에서 증상이 나타날 수 있습니다.
부주상골 증후군의 증상 발현은 주로 청소년기 이후 성장 급증기인 12~13세 경에 많이 나타나며, 10~30대 젊은 층에서 발병률이 높습니다
♼ 관련 인자
선천적 원인이 가장 많으며, 특정 부상이나 발목 염좌 등 외상으로 인해 증상이 발현될 수 있습니다.
평발(편평족)과 밀접한 연관이 있는데, 평발이 있으면 발 아치가 무너지면서 부주상골에 가해지는 힘이 커져 통증이 발생하기 쉽습니다.
특히 후경골건이 부주상골에 부착되어 이 힘줄의 기능 불안정이 발 아치 붕괴와 통증을 유발할 수 있습니다.
♼ 원인
주로 선천적으로 부주상골이 존재하는 상태에서 뼈가 성장하며 연골화하면서 외부 압력, 반복적 스트레스, 충격 등에 의해 통증과 염증이 발생합니다.
드물게는 외상성 골절 후 부주상골로 남는 경우도 있습니다.
♼ 증상
발 안쪽, 복사뼈 대각선 아래 부위에 국소적 부기, 통증, 압통
평발로 인한 아치 붕괴와 보행 패턴 이상
발에 체중이 실릴 때 통증이 심해지며, 발목을 움직일 때 불편함과 발목 불안정 증상도 동반
활동량이 많아지면 증상 악화
♼ 분류
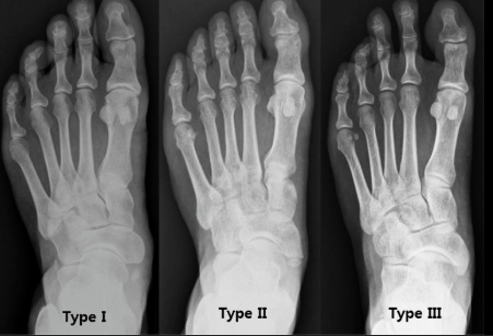
유형 | 설명 | 특징 및 임상적 의미 |
제1형 | 주상골과 완전히 분리된 부주상골로,크기가 작은 | 증상이 경미하며 대부분 문제 없이 지냄 |
제2형 | 주상골과 부주상골이 반쯤 붙어 있어 덜렁거리는 상태 | 가장 문제되는 유형으로, 심한 통증과 기능장애를 유발하며 골절과 감별 필요 |
제3형 | 부주상골이 주상골의 일부로 융합되어 뼈가 크게 형성된 경우 | 경미한 증상이나 드물게 부주상골에 의한 문제가능 |
이 중 제2형이 부주상골 증후군 환자에서 가장 흔히 문제를 일으키는 유형이며, 인대와 근육 비정상 발달이 동반되어 수술적 치료가 고려되는 경우가 많습니다. 반면 제1형과 제3형은 증상이 경미하거나 거의 없어서 일상생활에 큰 지장이 없습니다
♼ 진단
병력 청취와 신체 검진을 통해 발 안쪽 돌출된 부위와 압통, 부종을 확인합니다.
엑스레이 검사로 부주상골의 존재 유무와 크기를 확인하며, 평발 여부도 평가합니다.
MRI나 초음파 검사를 통해 주변 조직 염증과 후경골 건의 상태를 검사하여 중증도를 파악하고 다른 질환과 감별합니다.
♼ 치료
보존적 치료가 우선이며, 휴식, 약물 (소염제) 복용, 발 모양 교정 깔창 착용 등이 시행됩니다.
심하면 부주상골 부위에 깁스나 보조기 착용으로 안정화합니다.
보존 치료로 호전되지 않거나 기능 손상이 심한 경우, 부주상골 제거술이나 후경골건 이전술 같은 수술적 치료를 고려합니다.
평발이 동반된 경우 평발 교정 수술과 같이 시행할 수도 있습니다.
♼ 예후
대부분 성인기에 이르면 증상이 자연 완화되는 경우가 많으나, 반복 염증과 손상으로 만성화될 수 있습니다.
치료를 잘 받으면 통증 완화 및 기능 회복이 가능하나, 조기 치료하지 않아 발 아치 붕괴와 보행 패턴 이상이 발생할 경우 장기적인 추가 문제가 초래될 수 있습니다.
⚑ 부주상골 증후군은 선천적 뼈 구조 이상에 성장기 외부 자극이 겹쳐 나타나는 질환으로, 적절한 진단과 치료가 중요합니다. 평발이 동반될 경우 증상이 악화될 가능성이 높아 더욱 주의가 필요합니다.
'정형외과 > 발목관절' 카테고리의 다른 글
평발(flat foot, pes planus, 편평족) (20) | 2025.09.13 |
---|---|
종아리 근육파열(장딴지 or 비복근파열) (50) | 2025.09.10 |
발목 충돌 증후군 (ankle impingement syndrome) (38) | 2025.09.07 |
지간 신경종(Interdigital neuroma, Morton's neuroma) (45) | 2025.08.17 |
통풍성 관절염 (6) | 2025.08.02 |