평발(flat foot, pes planus, 편평족)은 발바닥 안쪽 아치가 비정상적으로 낮아지거나 소실되어 발바닥 전체 또는 상당 부분이 지면에 닿는 상태를 말한다. 정상 발은 발바닥의 안쪽에 아치가 있어 충격을 흡수하고 보행 시 안정성을 제공하지만, 평발은 이 아치가 없어져 발의 형태와 기능에 변형을 초래한다. 평발은 가장 흔한 발 변형 중 하나이며, 선천적 또는 후천적으로 발생할 수 있다.
♼ 원인
대부분 원인 불명이다. 대표적인 원인으로는 선천적 대사이상, 인대 이완성, 근육 약화, 비만, 성장기 과체중, 외상, 신경근 질환 등 여러 요인이 있다. 유연성 평발과 강직성 평발로 나뉘며, 체중 부하 시 아치가 무너지거나 항상 편평한 상태로 나타난다.
♼ 증상
평발 환자 중 많은 사람은 별다른 증상이 없으나, 증상이 나타나면 다음과 같은 것들이 있다.
발과 발목 내측 또는 뒤꿈치 부위 통증
발목 붓기
장시간 서 있거나 걷기 시 피로, 불편감
보행 패턴 변화 및 발끝으로 서기 어려움
발과 다리의 근육 피로, 통증 증가.
♼ 진단
진단은 주로 임상 평가를 통해 이루어진다. 체중 부하 시 발 내부 아치의 상태를 관찰하는 것이 중요하며, 이를 위해 발뒷꿈치의 기울기, 발바닥 압력 면적, 보행 분석 등이 활용된다.
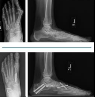
필요 시 엑스레이, MRI, CT 촬영으로 뼈와 연조직 상태를 확인한다.
※ x-ray시 주요 각도 지표
♦거골-제1중족골각,Meary's angle(talus-1st metatarsal angle, TMA) : 정상범위 거의 0도부근( ±4도 이내), 4도이상시 평발이며 15°~30° 중등도, 30°이상시 중증으로 평가
♦종골 피치각 (Calcaneal pitch,CPA) : 정상 범위 약 16.8° ± 5.6° (대략 11°~22°), 평발 기준: 16° 이하일 경우 평발로 간주
♦거골종골각(talocalcaneal angle,TCA) :정상 범위: 약 25°~50° 사이, 50도 이상 또는 정상 범위를 벗어나면 평발로 간주
평발과 유사 증상의 다른 질환(예: 후방 경골 건 기능 장애, 관절염 등)을 감별하는 것도 중요하다.
♼ 치료
대부분의 평발은 특별한 치료 없이 지내지만, 합병증이 있거나 통증이 심한 경우 치료가 필요하다.
맞춤 깔창 또는 발 보조기 착용: 내측 아치 지지가 가능하도록 설계된 보조기가 효과적이다.
물리치료 및 운동 치료: 발목과 발의 근육 강화로 아치 유지에 도움을 준다.
약물 치료: 통증 완화를 위해 비스테로이드성 소염제 등이 사용될 수 있다.
수술 치료: 매우 심하거나 보존적 치료에 반응하지 않을 때 시행한다.
♼ 예후
어린 시기에 조기 진단과 치료를 받으면 발 형태와 기능의 정상화 및 합병증 예방에 유리하다. 성인에서는 평발 교정보다는 증상 완화와 기능 유지에 중점을 둔다. 치료하지 않고 방치시 발목, 무릎, 고관절 등 연쇄적인 관절 문제와 퇴행성 변화가 발생할 수 있다.
⚑ 평발은 발바닥 아치가 낮거나 없어진 상태를 말하며 다양한 원인과 증상을 가지고 있다. 정확한 진단과 적절한 치료가 중요하며, 조기 치료 시 예후가 좋다.
'정형외과 > 발목관절' 카테고리의 다른 글
부주상골 증후군(Prehallux syndrome) (28) | 2025.09.11 |
---|---|
종아리 근육파열(장딴지 or 비복근파열) (50) | 2025.09.10 |
발목 충돌 증후군 (ankle impingement syndrome) (38) | 2025.09.07 |
지간 신경종(Interdigital neuroma, Morton's neuroma) (45) | 2025.08.17 |
통풍성 관절염 (6) | 2025.08.02 |