요골머리 골절(요골두 골절)은 팔꿈치 부위 요골 상부, 특히 요골머리(요골두)에 발생하는 골절입니다. 주로 팔을 펴고 넘어지면서 손으로 땅을 짚을 때 생기며, 팔꿈치에서 가장 흔한 골절 중 하나입니다. 낙상이나 스포츠 활동 중에 많이 발생합니다.


♼ 발생 기전
팔을 펴고 손으로 땅을 짚으며 넘어질 때 발생이 많습니다.

저에너지 손상으로 전위가 적은 안정 골절이 주로 나타나지만, 고에너지 손상(스포츠, 교통사고) 시 전위 심한 골절이나 분쇄골절, 주변 인대 손상, 다른 뼈의 골절 등이 동반될 수 있습니다.
♼ 주요 증상
팔꿈치의 통증과 부기
팔꿈치를 구부리거나 펼 때 통증과 움직임 제한(특히 외회전시 통증악화)
골절 부위에 압통(누르면 아픔)
팔꿈치 관절 내 출혈로 인한 부종
심한 경우 팔꿈치가 완전히 펴지지 않을 수 있음
♼ 진단
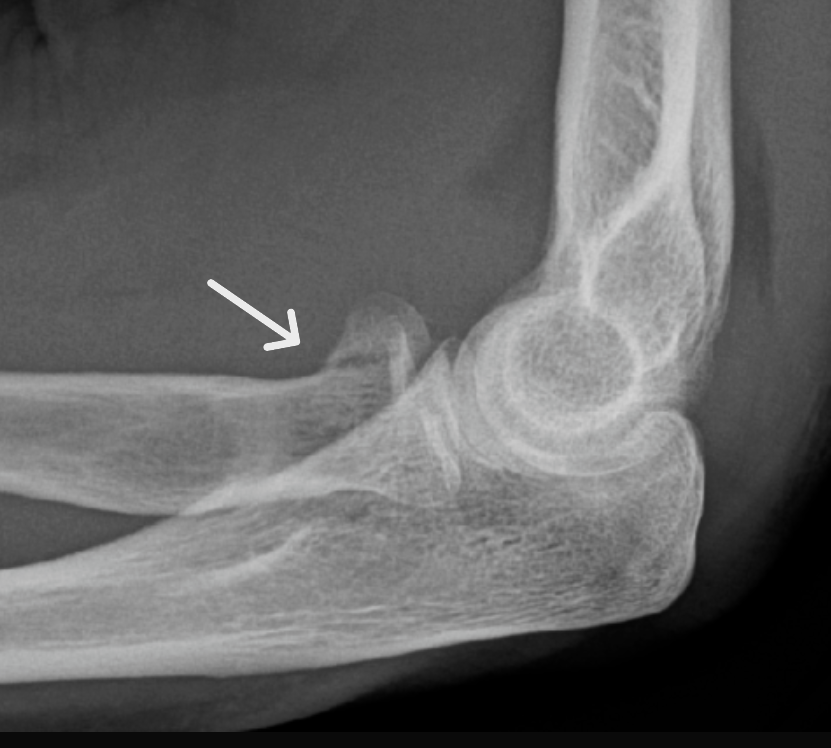
여러 각도에서 촬영한 X-레이 검사가 기본이며, 요골두 골절은 골절선이 잘 보이지 않는 경우도 있어 진단이 어려울 수 있습니다.
관절 내 체액 증가(혈종) 등이 X-레이에 간접적으로 나타날 수 있습니다.

정확한 평가가 필요한 경우 CT나 MRI 검사로 골절 상태와 주변 인대, 힘줄 손상 여부를 확인합니다.

신경 및 혈관 손상 여부도 검사하는 것이 중요합니다.
♼ 분류 (Mason 분류)
1형: 전위가 없거나 2mm 미만의 골절(그림A)
2형: 관절면 30% 이상 포함, 2mm 이상의 전위 골절(그림B)
3형: 분쇄골절(그림C)
4형: 탈구가 동반된 골절(그림D)

♼ 치료
요골두 골절의 치료는 골절의 유형, 전위 정도, 환자의 연령과 활동 수준에 따라 다르며, 크게 보존적 치료와 수술적 치료로 나눌 수 있습니다.
1. 보존적 치료
적응증: 전위가 거의 없거나 아주 적은 안정된 골절(예: Mason 1형)
방법: 팔걸이 붕대나 부목을 이용해 일정 기간 팔꿈치를 고정합니다.
고정 기간: 보통 3~4주 정도 고정 후 천천히 관절 운동을 시작합니다.
재활: 조기 관절 운동을 통해 관절 강직을 예방하고 운동 범위를 회복합니다.
주의사항: 고정을 너무 오래 하면 관절 경직이나 근력 저하가 발생할 수 있으므로 적절한 시기에 재활을 시작하는 것이 중요합니다.
2. 수술적 치료
♦ 적응증
골절 편위가 크거나 분쇄된 경우 (Mason 2형 이상)
관절 기능 저하가 예상되는 경우
탈구가 동반된 경우
♦수술 방법
관혈적 정복 및 내고정술(ORIF): 골절 부위를 직접 노출해 맞추고 금속판, 나사 등으로 고정


요골두 절제 및 인공관절 치환술 : 골절 부위가 심하게 부서진 경우


3. 재활치료
관절 가동 범위를 넓히고 근력을 회복하기 위한 운동요법이 핵심입니다.
초기에는 수동적 관절 운동을 시작하고, 점차 능동적 운동과 근력 강화 운동으로 진행합니다.
통증과 염증이 가라앉은 후 체계적인 재활을 통해 팔꿈치 기능을 최대한 회복합니다.
⚑ 요골두 골절은 치료가 늦거나 부적절하면 만성 통증, 관절 강직, 운동 제한, 관절염 등의 후유증이 발생할 수 있어 초기 치료와 꾸준한 재활이 중요합니다
'정형외과 > 팔꿈치 관절' 카테고리의 다른 글
| 교황의 축복의 손 : 전방골간신경 증후군(Anterior Interosseous Nerve Syndrome) (48) | 2025.09.18 |
|---|---|
| 팔꿈치 점액낭염(주두 점액낭염) (12) | 2025.08.11 |
| 주관증후군(팔꿈치터널증후군) (10) | 2025.08.08 |
| 외상과염(테니스엘보우) (2) | 2025.06.29 |