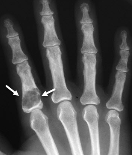
손가락의 내연골종(Enchondroma)은 손가락 뼈에서 가장 흔하게 발견되는 양성 연골성 종양입니다. 주로 뼈의 골수강(뼛속)에 연골조직이 비정상적으로 자라는 것이 원인입니다. 특별한 원인은 밝혀지지 않았으며, 유전이나 생활습관과는 별다른 관련이 없습니다. 전 연령층에서 발생할 수 있지만 주로 젊은 층과 30대 이전에 많이 나타납니다.
♼ 증상
대부분 증상이 없어서 X-ray 등 다른 이유로 촬영하다가 우연히 발견되는 경우가 많습니다.
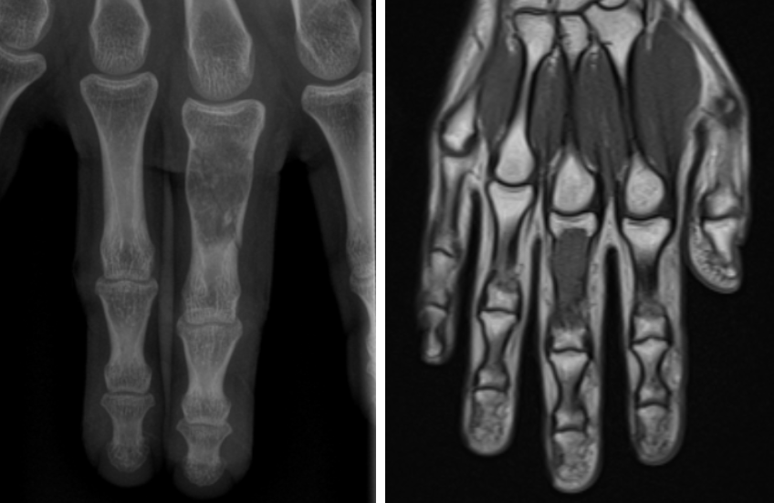
종양이 커지면 통증이나 부종이 나타날 수 있고, 뼈가 약해지면서 가벼운 충격에도 병적 골절이 쉽게 발생할 수 있습니다.
손가락 뼈가 부풀거나 변형되며, 드물게 신경을 눌러 감각마비가 올 수 있습니다.
♼ 진단
주로 X-ray(단순 방사선 검사)로 진단하며, 필요에 따라 CT, MRI 등 추가 영상 검사가 사용됩니다.
악성 여부가 의심되면 골생검이 필요할 수 있습니다.
♼ 치료
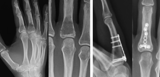
증상이 없고 우연히 발견된 경우, 반드시 치료가 필요한 것은 아니지만, 뼈가 약해져 있거나 골절이 있는 경우, 증상이 있을 경우 수술적 치료(뼈 속 연골 제거 및 이식)를 시행합니다.
뼈 이식은 자가골 또는 인공골을 사용할 수 있습니다.
수술 후 재발률은 10% 정도로 알려져 있습니다.
♼ 예후 및 주의점
손가락과 같은 작은 뼈의 내연골종은 악성 종양(암)으로 변하는 경우가 거의 없습니다.
긴 뼈(상완골, 대퇴골)에 발생한 경우 골절 없이 통증이 있으면 악성 변화를 의심합니다.
수술 후 대부분 문제없이 치료되나, 뼈가 약해져 있으니 작은 충격에도 주의가 필요합니다.
⚑ 손가락 내연골종은 대부분 양성이며 증상이 없는 경우가 흔하며 경과가 양호합니다.
다만, 뼈가 약해져 골절 위험이 있을수 있으며, 병적 골절 등 증상이 있을 때는 수술적 치료필요합니다.
주인장 뇌피셜 : 우연히 발견되거나 가볍게 악수하고 나서 아프다거나 하는등의 작은 외력으로 다쳐서
오는경우가 흔하고, 골절위험성이 높은 경우 예방적으로 골종양제거술 및 인공골 이식술로 좋은 결과를
얻을수 있어요.
'정형외과 > 수부 관절' 카테고리의 다른 글
게임키퍼 무지(Gamekeeper's thumb) 또는 스키어 엄지(Skier's thumb) (19) | 2025.08.10 |
---|---|
삼각섬유연골복합체(TFCC)손상 (11) | 2025.08.06 |
손가락 점액낭종(digital mucous cyst) (5) | 2025.07.26 |
망치형손가락(Mallet finger, Footballer's finger injury) (9) | 2025.07.23 |
듀피트렌 구축 (Dupuytren contracture) (3) | 2025.07.20 |