무릎 관절의 삼출액은 무릎 관절 내에 활막에서 분비되는 체액이 정상보다 과도하게 쌓여 발생하는 상태를 말하며, 흔히 "무릎에 물이 찼다" 또는 "무릎 부종"으로 표현됩니다. 활막은 관절낭을 덮고 관절을 원활하게 움직이게 하는 윤활액을 만드는 조직인데, 염증이나 부상 등으로 인해 이 활막에서 과도하게 체액이 생성되면서 무릎이 붓고 통증, 뻣뻣함, 운동 범위 제한 등의 증상이 나타납니다.

♼ 무릎 관절 삼출액의 주요 원인
외상 또는 부상: 무릎 타박상, 염좌, 인대 손상, 골절 등으로 인해 염증이 발생하면서 삼출액이 생깁니다.

퇴행성 관절염(골관절염): 연골 손상과 염증으로 인해 무릎 관절 내에 체액이 축적됩니다.

류마티스 관절염: 자가면역성 염증이 활막에 영향을 주어 체액이 증가합니다.

감염성 관절염(화농성 관절염): 박테리아나 바이러스 감염이 무릎 관절의 급성 염증과 삼출을 일으킵니다

통풍: 요산 결정이 무릎에 쌓여 염증과 관절액 축적을 유발할 수 있습니다.

활액낭염(점액낭염): 무릎의 윤활막 주머니인 활액낭의 염증이 체액 증가는 원인 중 하나입니다.

반복적인 무릎 과사용, 혈관절증, 기타 전신 염증성 질환도 원인이 될 수 있습니다.

♼ 증상
무릎 부기와 팽윤(부풀어 오름)

통증과 압통, 움직임 제한
뻣뻣함, 무릎을 굽히거나 펴기 어려움
무릎 부위 발적, 열감 (염증이나 감염 시)
체중 부하 시 통증으로 걷기 어려움
전신 증상(발열, 피로)이 동반될 수 있음.
♼ 진단
신체검사와 병력 청취
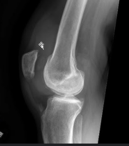
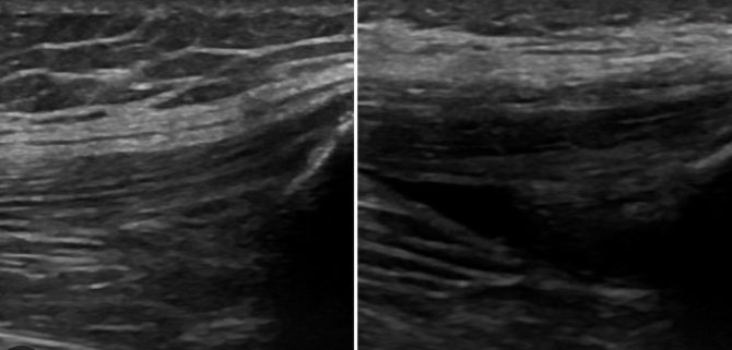
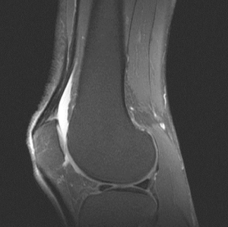
영상검사: 엑스레이, 초음파, MRI 등으로 관절 상태 확인



관절 천자술: 무릎 관절액을 바늘로 뽑아 성분 분석 및 감염 여부 확인


혈액검사: 염증 및 자가면역 질환 검사.
♼ 치료
1. 원인 질환 치료
퇴행성 관절염, 류마티스 관절염 등 만성 염증성 질환: 소염진통제(NSAIDs), 스테로이드, 항류마티스 약물(DMARDs), 생물학적 제제 등 사용.
감염성(화농성) 관절염: 항생제 주사 또는 투여 및 관절액 배출이 필수. 감염이 심각할 경우 관절 내 세척이나 수술이 필요할 수 있음.
통풍, 활액낭염 등: 약물(통풍치료제, 스테로이드 등) 및 증상 조절.
2. 관절 천자술(관절 내 과도한 체액 제거)

무릎 관절에 주사바늘을 넣어 삼출액을 뽑아냅니다.
급성 통증, 부종, 염증 완화에 즉각적인 도움이 됩니다.
배출된 관절액은 감염 여부, 결정(요산 등) 확인 등 진단에도 사용됨.
3. 보존적 치료
휴식·안정: 관절 과도 사용을 줄이고, 필요시 목발 등 보조기 사용.
냉찜질: 1회 15-20분, 하루 여러 번 적용해 부기 완화.
물리치료: 근육 강화, 관절 유연성 회복에 도움.
4. 약물치료
소염진통제(비스테로이드성 소염제), 필요시 스테로이드 관절내(또는 근육)주사
통풍이 원인일 경우 요산조절제 등
5. 수술적 치료(특정 상황)
관절경을 통한 관절 내 세척 또는 손상 조직 제거,
심한 경우 인공관절 치환술 등

♼ 주의사항 및 예후
감염, 급성 염증 의심 시 즉시 치료가 중요하며, 방치하면 관절의 영구적 손상 및 기능 저하 위험이 있습니다.
치료 후에도 재발 우려가 있으므로, 관절 부담 최소화와 정기적인 관찰이 필요합니다.
참고로, 치료하지 않고 방치할 경우 관절 기능 저하, 만성 통증, 근육 약화, 관절 손상 같은 합병증이 발생할 수 있습니다.
⚑ 무릎 관절의 삼출액은 무릎 관절 내 활액이 과다 축적되어 무릎이 붓고 아프며 움직임 장애를 일으키는 증상으로, 외상, 관절염, 감염 등 다양한 원인에 의해 발생합니다. 적절한 진단과 치료가 필수적입니다.
'정형외과 > 무릎 관절' 카테고리의 다른 글
| 원판형 연골판 (Disoid meniscus) (48) | 2025.08.27 |
|---|---|
| 무릎 연골 연화증(Chondromalacia) (67) | 2025.08.19 |
| 무릎뼈 힘줄염(슬개건염, Patellar tendintis, Jumper's knee) (10) | 2025.08.05 |
| 베이커씨 낭종 (5) | 2025.07.22 |
| 내측 경골 스트레스 증후군 (4) | 2025.07.17 |