본문 바로가기
정형외과/어깨관절

어깨 힘줄 파열(회전근개 파열)

by 파트라송 2025. 8. 18.
728x90
반응형

회전근개는 어깨 관절을 안정시키고 어깨를 회전시키는 역할을 하는 네 개의 근육과 힘줄(극상근, 극하근, 소원근, 견갑하근)로 구성되어 있습니다. 이 힘줄들이 어깨뼈와 팔뼈를 연결하며, 어깨의 움직임과 안정성을 담당합니다.

회전근개 파열은 이 힘줄들이 퇴행성 변화, 반복적인 사용, 외상 등으로 인해 손상되거나 찢어지는 질환입니다. 손상 부위가 부분적으로 파열될 수도 있고, 힘줄 전체가 뼈에서 떨어지는 완전 파열일 수도 있습니다.

 

원인

퇴행성 변화: 나이가 들면서 회전근개의 힘줄 세포가 줄어들고 섬유가 약해지며 탄성이 감소해 작은 충격에도 쉽게 손상됩니. 40대 이후 연령층에서 흔히 발생하는 원인입니다.

 

반복적 무리한 사용: 어깨를 과도하게 사용하거나 반복적 과부하가 가해져 힘줄에 미세 손상이 누적됩니다.

 

외상: 낙상, 교통사고 등 갑작스러운 강한 충격에 의해 발생할 수 있습니다.

 

견봉 밑 공간 충돌: 어깨 뼈 사이 공간이 좁아지면서 힘줄이 압박 또는 마찰되어 손상됩니다.

출처 Holland Osteopathy

 

 

증상

어깨 앞쪽이나 옆, 아래쪽까지 퍼지는 통증이 가장 흔합니다. 특히 팔을 들어올리거나 무거운 물건을 들 때 통증이 심하며, 야간에 누운 자세에서 통증이 악화되어 수면 장애가 발생하기도 합니다.

 

어깨의 운동 범위가 감소하며, 회전근개 파열이 심할 경우 근력 약화가 나타납니다. 팔을 들어올리거나 유지하기 어렵고, 어깨를 움직일 때 걸리는 소리(딱딱거림 또는 삐걱거림)가 발생할 수 있습니다.

 

특정 각도(60~90)에서 통증이 뚜렷하며, 일상 활동 중 머리를 빗거나 옷 입기, 높은 물건을 꺼낼 때 통증이 흔히 나타납니다.

 

 

진단

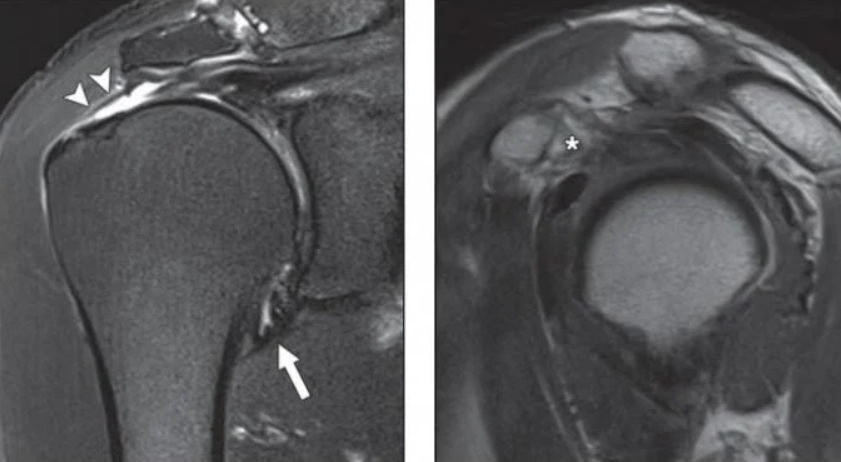
증상 및 신체검사로 의심할 수 있으며, 정확한 진단을 위해 MRI나 초음파 검사를 통해 파열 범위와 정도를 확인합니다.

x-ray상 원위부의 돌출 및 불규칙등이 관찰됨.
초음파상 저에코의 검은 음영으로 보이는 파열

 

MRI상 고신호로 관찰되는 완전파열로 인한 결손

 

300x250
반응형

치료

 

1.비수술적 치료(보존적 치료)

주로 파열이 경미하거나 부분 파열일 때 선택됩니다.

 

약물치료: 비스테로이드성 항염증제(NSAIDs)나 통증 완화를 위한 진통제 사용.

 

주사치료: 스테로이드 주사를 통해 염증과 통증을 줄이는 경우가 있습니다.

 

물리치료 및 운동치료: 어깨의 근력을 강화하고 운동 범위를 유지 또는 회복하기 위한 재활운동이 중요합니다.

 

기타 시술: 바이오 콜라겐 주입술(손상부위에 콜라겐 주입해 회복 촉진), 핌스 시술(염증 제거 및 유착 해소) 등이 있습니다.

   

★ 핌스시술(PIMS = P(Prolotheraphy증식치료) + FIMS(Functional Intramuscular Stimulation, 기능적근육내자극치료)

 

일상생활에서 어깨에 무리가 가지 않도록 주의하면서 꾸준한 운동치료가 병행됩니다.

 

비수술적 치료로도 증상이 호전되는 경우가 많으며, 미국 어깨 관절 학회 연구에 따르면 수술과 비수술 간 임상 결과 차이가 크지 않다는 보고도 있습니다.

 

2.수술적 치료

파열이 완전하거나 증상이 심해 보존적 치료에 효과가 없는 경우 시행합니다.

관절내시경 수술이 주로 사용되며, 손상된 힘줄을 뼈에 봉합하는 봉합술이 대표적입니다.

출처 Zahab S. Ahsan.MD, Orthropaedic surgery & sprots medicine

 

출처 December 12. 2016 by Shoulder & Elbow

 

수술은 진단과 동시에 진행될 수 있고 절개 부위가 작아 회복이 빠릅니다.

 

수술 후에는 적절한 재활운동이 필수이며, 잘못된 도수운동 등으로 관절 강직이나 통증이 생길 수 있어 주의가 필요합니다.

 

드물게 견봉 성형술, 인공관절 치환술(파열정도가 심해 봉합이 어렵거나 관절염이 동반된경우) 등이 필요할 수도 있습니다.

Reverse shoulder replacement

기타

회전근개 파열은 통증과 증상의 심각도가 파열 정도와 일치하지 않을 수 있으니, 통증이 심해지고 어깨 기능에 제한이 있다면 조기 진단과 치료가 중요합니다.

 

⚑ 어깨 회전근개 파열은 어깨를 움직이고 안정시키는 힘줄들이 손상되어 통증과 운동 제한을 유발하는 질환으로, 주로 노화, 무리한 사용, 외상 등이 원인입니다. 증상은 통증과 근력 저하이며, 진단 후 상태에 따라 보존적 치료나 수술적 치료를 받게 됩니다.

300x250
반응형