어깨 충돌 증후군은 어깨 관절에서 견봉(어깨뼈의 돌출 부위)과 회전근개(어깨 힘줄)의 사이 공간이 좁아지면서 이 힘줄들이 움직일 때마다 견봉과 충돌하여 염증과 통증을 유발하는 질환입니다. 주로 노화, 퇴행성 변화, 외상, 그리고 어깨를 많이 사용하는 반복적인 동작으로 발생할 수 있습니다. 초기에는 참을 수 있는 정도의 통증으로 시작하지만 방치하면 회전근개 파열까지 이어질 수 있어 초기에 정확한 진단과 치료가 중요합니다.
♼ 주요 원인
♦어깨 관절 부위인 견봉과 회전근개의 공간이 좁아지면서 힘줄이 반복적으로 충돌하는 경우
노화에 따른 퇴행성 변화
선천적인 견봉 뼈의 형태 이상
어깨 부위의 외상이나 물리적 충격
팔을 높이 들어 반복적으로 많이 사용하는 작업이나 스포츠(교사, 과수원 농부,인테리어, 골프, 수영, 테니스 등)
회전근개 근육 불균형으로 인한 상완골두의 위치 이상
♼ 증상
팔을 들어 올리거나 젖힐 때 심한 통증 발생
어깨 안쪽에 걸리는 듯한 느낌과 뚝뚝 소리가 날 수 있음
밤에 통증이 심해 잠을 설치거나, 아픈 쪽으로 누웠을 때 통증이 증가
어깨 움직임 제한과 팔을 뒤로 젖히기 어려움
♼ 이학적 검사 및 진단 방법
1. 이학적 검사 (운동 검사 및 특이 검사)
호킨스 테스트 (Hawkins test): 팔을 앞으로 90도 들어 올리고 팔꿈치를 90도로 굽힌 뒤 팔을 내회전 시켜 견봉과 회전근개의 충돌을 유발하여 통증 여부 검사.
네어 테스트 (Neer test): 환자의 팔을 최대한 위로 들어 올려 견봉과 회전근개 사이 공간이 좁아져 통증 유발 확인.
캐슬 사인 (Painful arc test): 팔을 옆으로 천천히 들어 올릴 때 60~120도 사이에서 통증이 발생하는지 확인.
근력 검사: 회전근개 근육의 힘과 힘줄 손상 여부 평가.
2. 영상 검사
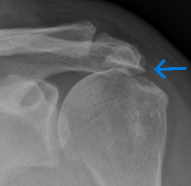
X-ray: 견봉뼈의 돌출이나 뼈 모양 이상, 관절 간격 등을 확인하여 충돌 증후군 외 다른 뼈 관련 이상 질환 감별.
초음파 검사: 회전근개 힘줄과 인대의 염증, 손상, 파열 여부를 빠르고 간편하게 확인.
MRI: 연부 조직, 힘줄 손상의 정도, 염증 범위, 회전근개 파열 여부를 정밀하게 평가.
3. 진단적 주사
어깨 힘줄이나 견봉하 점액낭에 국소 마취제를 주사한 후 통증이 일시적으로 감소하면 어깨 충돌 증후군이 확진에 가까워집니다.
♼ 치료
1. 비수술적 치료
약물 치료: 진통소염제 등을 사용하여 통증과 염증 완화
물리치료: 초음파, 전기 자극 치료, 냉찜질(얼음찜질) 등으로 염증 완화와 근육 긴장 완화
운동 치료: 견관절 주위 근육 강화 운동과 스트레칭을 통해 근육의 균형을 맞추고 관절의 안정성을 증가
주사 치료: 인대강화 주사, 프롤로테라피 주사, 연골 주사
체외충격파 치료: 충격파를 가해 혈관 재형성과 조직 활성화 및 통증 완화 효과
2. 수술적 치료
비수술적 치료 후에도 통증 및 기능장애가 지속되거나 회전근개 손상, 염증이 심한 경우에는 수술을 고려합니다.
관절경 수술: 절개 부위를 최소화한 내시경을 통해 견봉하 공간을 넓히고, 부풀고 염증이 있는 활액낭(윤활낭)을 제거하며, 회전근개 주위의 거친 부위를 다듬어 충돌을 줄입니다.
수술 후에는 3주간 팔을 보호하며 팔걸이를 착용하고, 조기에 진자 운동을 시작하여 관절의 굳음을 방지합니다.
완전한 회복과 재발 방지를 위해 4~6개월 동안 체계적인 재활 운동이 필수적입니다.
♼ 예후
대부분 초기에 적절한 보존적 치료를 통해 호전 가능
장기 방치 시 회전근개 파열 등으로 진행할 수 있어 조기 진단 및 치료 중요
수술을 받은 경우에도 꾸준한 재활이 이루어진다면 좋은 결과를 기대할 수 있음
⚑ 어깨 충돌 증후군은 반복적 어깨 사용이 많은 직업군이나 스포츠 활동에서 특히 주의해야 하는 질환으로, 정확한 진단과 적절한 치료가 어깨 기능 유지와 통증 완화에 중요합니다.
'정형외과 > 어깨관절' 카테고리의 다른 글
견쇄인대손상(acroclavicular ligament injury) (22) | 2025.09.15 |
---|---|
뽀빠이 알통(Popeye deformity, biceps tendon ruputre) (27) | 2025.09.12 |
허니문 마비(honeymoon palsy,saturday night palsy) (62) | 2025.09.05 |
어깨의 탈구 (29) | 2025.09.02 |
관절와순 파열(SLAP 병변) (41) | 2025.08.29 |