뽀빠이 알통(Popeye deformity)은 상완이두근의 긴 힘줄(long head of biceps tendon)이 파열되어 발생하는 특징적인 변형입니다. 힘줄이 끊어지면 상완이두근의 근육이 팔꿈치 쪽으로 말려 내려가면서 팔 윗부분에 둥글고 볼록한 근육 덩어리가 생기는데, 만화 캐릭터 ‘뽀빠이’의 근육질 전완부와 비슷하게 보여서 이런 이름이 붙었습니다.


♼ 주요 원인
상완이두근의 긴 머리 힘줄(long head of biceps tendon)이 부상, 과사용, 퇴행성 변화로 파열되면서 발생합니다.

반복적인 팔 사용, 스포츠 부상, 낙상 등이 흔한 원인입니다.


나이가 들면서 힘줄이 약해지고 마모되어 파열 위험이 증가합니다.
흡연, 스테로이드 사용, 류마티스 관절염 등도 위험 인자입니다.
♼ 발생빈도
주로 50세 이상의 중장년층에서 많이 발생하지만, 모든 연령에서 발생할 수 있습니다.
전체 상완이두근 힘줄 파열의 약 96%가 긴 머리 힘줄에서 발생합니다.
♼ 증상
힘줄 파열 시 '뚝' 하는 소리나 느낌이 있습니다.
갑작스러운 팔 통증과 부기, 멍, 압통이 나타납니다.

팔 윗부분에 만졌을 때 둥글고 부풀어 오른 'Popeye' 모양의 근육 덩어리가 생깁니다.
팔 힘 빠짐, 팔꿈치와 어깨의 약화, 팔 돌리기 어려움 등이 동반될 수 있습니다.
근육 경련, 피로감도 나타날 수 있습니다.
♼ 진단
병력 청취 및 임상검사로 확진할 수 있으며, 근육 덩어리(변형)가 관찰됩니다.
필요 시 X-ray로 동반된 뼈 손상 여부를 확인합니다.
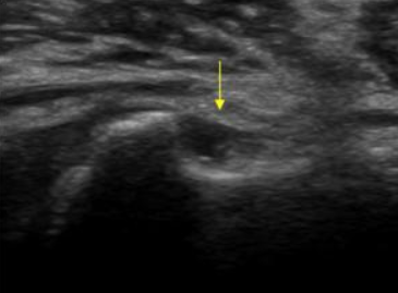
MRI, 초음파 등 영상검사로 힘줄 파열 정도를 평가합니다.



♼ 치료
1.보존적 치료
주로 통증 완화와 기능 회복을 목표로 합니다.
휴식, 얼음찜질, 소염진통제 복용으로 급성 통증을 줄입니다.
물리치료와 재활운동을 통해 어깨와 팔 근육 강화 및 유연성 향상을 도모합니다.
고령자나 활동량이 적은 환자는 보존적 치료 후에도 일상생활에 큰 지장이 없는 경우가 많습니다.
2.수술적 치료
젊고 활동량이 많은 환자, 보존적 치료에도 증상 지속 시 수술을 고려합니다.
대표적 수술법은 상완이두근 긴 머리 힘줄을 절단 후 고정하는 '힘줄 고정술(tenodesis)'입니다.

내시경(관절경)을 이용해 힘줄을 떼어내고 상완골에 다시 부착합니다.
고령 환자나 전신 상태가 좋지 않은 경우에는 힘줄 절제술(tenotomy)을 시행하기도 합니다.
수술 후에는 재활치료가 중요하며, 정상 근력과 기능 회복을 위해 약 3~6개월의 재활 기간이 필요합니다.
3.치료 선택 기준
운동 기능 저하, 심한 통증, 일상생활 제한이 있으면 수술적 치료 권고
미용적 문제만 있고 기능은 유지되는 경우 보존적 치료 우선
환자의 연령, 직업, 활동 수준을 고려하여 맞춤형 치료 계획 수립
♼ 예후
보존적 치료 시 통증 완화와 함께 변형 덩어리는 시간이 지나면서 다소 줄어듭니다.
운동 기능 일부(약 20%)는 감소할 수 있으나 전반적인 일상생활에는 큰 지장이 없는 경우가 많습니다.
수술 시 완전 회복까지 1년 정도 소요될 수 있으며, 회복 결과가 좋은 편입니다.
⚑ 뽀빠이 알통(Popeye deformity)은 상완이두근 긴 머리 힘줄 파열로 인한 특징적인 팔 근육 변형이며, 주로 중장년층에서 발생하고 통증과 팔 기능 저하가 동반됩니다. 진단은 임상 및 영상검사로 하며, 치료는 보존적 또는 수술적방법이 있으며 대체로 예후가 좋은 편입니다.
'정형외과 > 어깨관절' 카테고리의 다른 글
| 견쇄인대손상(acroclavicular ligament injury) (22) | 2025.09.15 |
|---|---|
| 어깨 충돌 증후군(impingement syndrome) (47) | 2025.09.08 |
| 허니문 마비(honeymoon palsy,saturday night palsy) (62) | 2025.09.05 |
| 어깨의 탈구 (29) | 2025.09.02 |
| 관절와순 파열(SLAP 병변) (41) | 2025.08.29 |