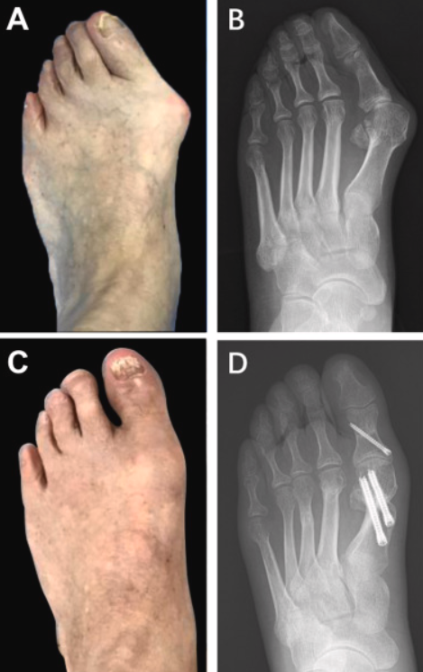
무지외반증(Hallux valgus)은 엄지발가락이 둘째발가락 쪽으로 과도하게 휘어지면서, 발 안쪽 관절 부위가 돌출되는 족부 질환입니다. 이로 인해 관절이 바깥으로 튀어나오고, 때로는 엄지발가락이 둘째발가락 위로 겹쳐지는 경우도 있으며, 심한 경우 보행에 큰 불편을 줄 수 있습니다.

♼ 원인
⚫ 유전적(선천적) 요인
♦ 가족력: 무지외반증 환자의 50~63%는 부모 등 가족 중에서 같은 질환이 있는 경우가 많습니다.
♦ 평발, 발 구조의 특성: 선천적으로 평발이거나 발볼이 넓은 구조, 관절이 유연한 특성을 가진 경우 발생 위험이 높습니다.
♦ 여성에서 더 흔함: 특히 모계유전 경향이 강해 여성 환자 비율이 높습니다.


⚫ 후천적 요인
♦ 잘못된 신발 착용: 굽이 높고 발볼이 좁은 하이힐이나, 앞코가 뾰족한 신발, 꽉 끼는 구두를 오랜 기간 신는 것이 가장 흔한 후천적 원인입니다. 이 같은 신발은 엄지발가락에 과도한 압력을 주고, 변형을 촉진합니다.

♦ 생활습관: 쪼그려 앉는 자세, 장시간 서 있거나 엄지발가락에 체중이 실리는 활동, 야구 포수나 발레리나 등 특수 직업군에서도 발생 위험이 높습니다.

♦ 체중 증가: 과체중, 임신 등으로 엄지발가락 쪽에 체중이 많이 실리는 경우도 원인이 될 수 있습니다.

♦ 기타 족부 질환: 평발, 발볼이 넓은 발 형태, 류마티스 관절염이나 신경 근육 질환 같은 족부 질환이 있으면 무지외반증 발생률이 증가합니다.
♼ 증상
엄지발가락 관절의 돌출 및 휘어짐: 육안으로 쉽게 확인 가능
발 안쪽 관절 부위의 통증: 신발에 닿으면서 자극, 염증, 굳은살 및 붉어짐 동반 가능
발의 변형과 보행 불균형: 심하면 엄지발가락이 둘째발가락 위로 올라가거나 넘는 경우
2, 3번째 발가락의 굳은살·통증 및 피부 궤양: 압력 변화로 인한 이차 병변
보행 시 무릎, 골반, 허리 등 2차적인 통증: 몸의 무게중심 이동으로 영향받을 수 있음


♼ 진단
임상적으로 육안 변형 확인이 가능
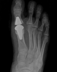
방사선 촬영(X-ray)을 통해 엄지발가락과 중족골의 각도, 관절 변형, 퇴행성 변화 등을 평가함
정상인의 무지외반각은 15도 이하, 20~40도는 중등도, 40도 이상은 중증으로 구분


♼ 치료
⚫ 비수술적 치료
넓고 편안한 신발 착용: 발볼이 넓고, 앞코가 뾰족하지 않은 신발을 신어 압박과 자극을 줄입니다.
보조기 및 맞춤 깔창: 엄지발가락을 바른 위치로 유도하고, 통증을 완화하며, 변형의 진행을 늦추는 데 도움을 줍니다.
체중 조절 및 족부 근력 강화 운동: 체중을 적정 수준으로 유지하고, 발 근육을 강화하여 부담을 경감합니다.
통증 조절: 필요에 따라 진통제, 소염제를 사용할 수 있습니다.
물리치료: 얼음찜질, 초음파, 온열 치료 등으로 염증 및 통증을 관리합니다.
이러한 치료법은 변형이 심하지 않고, 통증이나 기능 저하가 크지 않은 초기에 효과적입니다.

⚫ 수술적 치료
적용 대상:비수술적 치료에도 불구하고 통증이 지속되거나, 변형이 심해 일상생활에 불편을 초래하는 경우
주요 수술 방법:
♦ 뼈 절골술(뼈 자르기 및 배열 교정): 변형된 뼈를 잘라내거나 교정하여 엄지발가락을 바른 위치로 재정렬합니다.


♦ 연부 조직 교정술: 엄지발가락 주위의 인대, 힘줄 등 연부 조직을 조절해 균형을 맞춥니다.
(보통 뼈 절골술시 같이 시행함)
♦ 관절 고정 및 인공 관절술: 퇴행성 관절염이 동반된 경우 관절을 고정하거나 인공 관절로 치환할 수 있습니다.


수술 후 관리: 일정 기간 보조기 착용, 족부 재활 운동, 통증 및 감염 관리 등이 필요합니다.
무지외반증은 진행형 질환으로, 방치할 경우 증상과 변형이 심화되어 치료가 더 복잡해질 수 있으므로 조기 진단과 적절한 관리가 중요합니다
'정형외과 > 발목관절' 카테고리의 다른 글
| 내성 발톱( 내향성발톱, ingrowing nail ) (8) | 2025.08.01 | 
|---|---|
| 발목염좌(발목인대파열) (5) | 2025.07.31 | 
| 당뇨발(DM foot) (2) | 2025.07.10 | 
| 아킬레스건 파열 (2) | 2025.07.08 | 
| 족저 근막염(plantar fascitis,발바닥근막염) (4) | 2025.07.08 | 
 
                    
                   
                    
                   
                    
                  