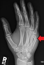
복서 골절(Boxer's fracture)은 주먹 쥔 손으로 딱딱한 물체(벽, 펀치볼 등)를 가격할 때 주로 발생하는 손의 다섯 번째 중수골(새끼손가락 쪽) 경부의 골절입니다. 이름은 '복서(권투 선수)"에서 따왔으나 실제 권투 선수보다는 일반 젊은 남성들에게서 분노나 실수로 벽을 치다가 자주 발견됩니다.


♼ 주요 내용
♦ 정의: 다섯 번째(새끼손가락) 중수골의 경부 부위가 부러지는 골절. 때로 네 번째(약지) 중수골에도 발생할 수 있습니다.
♦ 주요 원인: 주먹을 진 상태에서 벽 또는 단단한 물체를 강하게 칠 때, 또는 펀치 머신에서 발생성이 높습니다.
♦ 증상
손등, 특히 새끼손가락과 연결된 부위의 붓기, 통증, 압통
주먹을 쥐었을 때 새끼손가락 너클이 들어가거나 내려앉아 보임

힘을 줄 때 손바닥 쪽에 이물감, 쥘 때 불편함, 약간의 모양 변형
♼ 진단
♦ 신체 검사: 손의 부위에 통증, 부기, 변형 등이 있는지 확인하고, 주먹을 쥐었을 때 비정상적인 각도나 움직임이 있는지 관찰합니다.
♦ 엑스레이(X-ray) 촬영: 복서 골절은 다섯 번째 중수골 경부 골절이므로, 여러 각도에서 손과 손등의 엑스레이를 촬영하여 골절 여부와 골절선의 위치, 골절의 변형 정도를 명확히 확인합니다. 일반적으로 엑스레이로 쉽게 진단이 가능합니다.

♦ CT 촬영: 경우에 따라 골절이 복잡하거나 뼈 조각이 어긋난 정도가 심한 경우에는 CT 촬영을 통해 더 정밀한 진단이 필요할 수 있습니다.
♼ 치료
♦ 비수술적 치료
골절이 크게 어긋나지 않고 꺾인 각도가 심하지 않은 경우, 손으로 당겨서 뼈를 맞추는 도수 정복을 시행합니다.
이후 부목 고정을 약 6주간 하여 뼈가 붙도록 합니다. 부목 고정 시 올바른 자세와 고정 방법이 중요합니다. 이 기간 동안 손가락의 움직임을 최소화하여 안정화를 도모합니다.
고정이 풀린 후에는 손가락의 굳음을 풀기 위한 물리치료 및 도수 치료가 필요하며, 재활 운동을 통해 정상 기능 회복을 도모합니다.
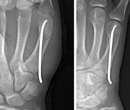
♦ 수술적 치료
골절 부위가 많이 꺾이거나 뼈의 위치가 맞지 않아 비수술적 방법으로는 도저히 정복이 어려운 경우, 수술을 하여 핀 삽입이나 나사 혹은 금속판 고정을 통해 뼈를 고정합니다.
수술 후에도 4~6주 정도 고정이후 물리치료 및 재활이 필요하며, 빠른 시일 내에 손을 움직여 관절이 굳거나, 유착되는것을 방지하는 것이 중요합니다.
골절 상태에 따라 핀고정(K강선)이나 나사 고정술을 시행합니다.



♦ 재활 치료
치료 후에는 손가락의 움직임을 회복하기 위한 재활치료가 필수입니다.
굳은 관절을 풀고 기능을 회복하기 위한 물리치료와 도수 치료가 진행됩니다.
재활 기간은 개인마다 차이가 있으나, 수술 후 4-6개월 정도 걸리는 경우도 있습니다.
♼ 예후/합병증
어느 정도 구부러진 채로 붙어도 손 기능에는 큰 문제가 없는 경우가 많지만, 미용적으로 너클이 들어가 보이거나, 심한 경우 주먹 쥘 때 힘이 약해질 수 있습니다.
뼈가 많이 어긋나 부정유합될 경우 회전 변형 등 기능 장애, 통증, 물건을 꽉 쥘 때 손바닥 통증 등이 나타날 수 있습니다.

합병증 예방을 위해 적정 시기의 치료 및 재활이 매우 중요합니다.
⚑ 복서 골절은 주먹으로 강한 충격을 받는 경우 생기는 골절이므로, 치료 시 적절한 정복과 고정, 그리고 꾸준한 재활이 중요합니다.
'정형외과 > 수부 관절' 카테고리의 다른 글
| 가시, 유리 파편등 이물질(Foreign body) (18) | 2025.09.21 |
|---|---|
| 손목 돌기 증후군 (carpal boss syndrome) (41) | 2025.08.30 |
| 게임키퍼 무지(Gamekeeper's thumb) 또는 스키어 엄지(Skier's thumb) (19) | 2025.08.10 |
| 삼각섬유연골복합체(TFCC)손상 (11) | 2025.08.06 |
| 손가락 내연골종 (5) | 2025.08.03 |