본문 바로가기
정형외과/수부 관절

가시, 유리 파편등 이물질(Foreign body)

by 파트라송 2025. 9. 21.
728x90
반응형

수부의 이물질은 손의 피부, 연부조직, 건초, 골 및 관절 등에 외부에서 유입된 물체 또는 조직을 의미하며, 외상 상황에서 흔히 발생합니다.

이물질의 원인과 종류

외부 충격이나 작업 도중 손에 박히는 유리, 금속, 나무 조각, 플라스틱, 모래, 식물성 가시, 동물의 털 등이 대표적입니다.

주로 봄에 두릅채취하다가 가시에 찔린 경우가 흔함
애완동물의 털
생선 가시
다발성으로 오는 경우가 흔함
임상에서는 제거하기 가장 어려운 유리파편(잘 안보임)
현장직은 못이나 철사등이 비교적 흔함

흔히 외부 환경에서 다양한 물질이 직접 침입하거나 절단, 관통상 시 함께 들어가게 됩니다.

 

임상적 특징

통증, 발적, 종창, 이물감, 운동 제한이 동반되며, 감염이 진행될 경우 발열이나 화농성 분비물이 보일 수 있습니다.

부종 및 발열 발적
심한 경우 고름(농양)

육안 또는 촉진으로 만질 수 있는 경우도 많으나, 깊이 침투한 경우 진단이 어려울 수 있습니다.

 

진단 방법

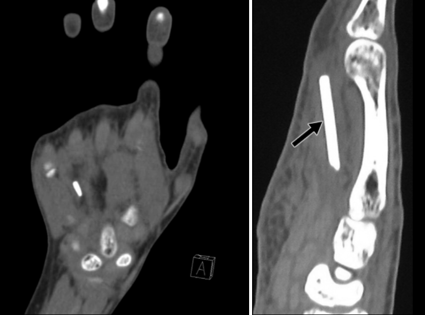
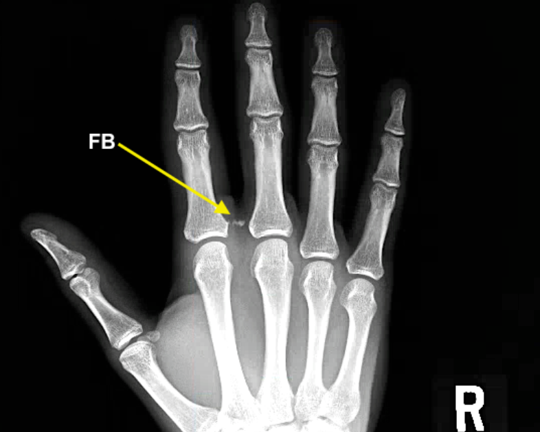
단순 X-ray로 금속, 유리 등 고밀도 이물질은 대부분 확인 가능하며, 나무나 식물성 이물질은 명확히 드러나지 않을 수 있으므로 초음파 검사나 CT가 유용합니다.

비교적 큰 덩어리의 유리 파편
쇠조각
초음파상 굴곡건 표층으로 이물질 확인
CT소견상 정확한 위치등을 파악하기 좋음

상처부위 주변 조직의 부종, 감염 소견을 함께 평가합니다.

 

치료와 관리

이물질 제거가 원칙이며, 국소마취 후 절개로 직접 확인 및 적출합니다.

단순한 경우 절개 및 제거술
낚시 바늘 제거

감염 예방을 위해 항생제 처방과 조직세척을 병행하고, 주변 신경, 혈관, 건의 손상 여부를 반드시 평가해야 합니다.

 

만일 근처 조직에 유착 또는 건초, 관절 내 위치한 경우 미세수술이 필요할 수 있습니다.

 

합병증 및 예후

남아있는 이물질은 만성 염증, 농양, 조직 괴사, 관절 및 건 손상, 신경 압박, 수부 기능 저하를 일으킬 수 있으므로 초기에 적극적 치료가 필수입니다.

 

적절히 제거 후에는 대부분 양호한 예후를 보이나, 골절, 인대손상, 감염이 동반된 경우 회복에 시간이 더 소요될 수 있습니다.

 

⚑수부의 이물질은 정확한 진단과 신속한 치료가 예후에 매우 중요하므로, 경우에 따라 영상의학적 진단과 전문적인 수술적 접근이 필요합니다.

300x250
반응형