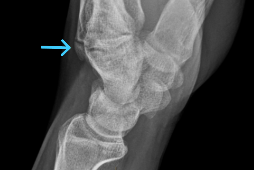
Carpal boss syndrome(수근골융기증, 손목 돌기 증후군)은 손목 뒤쪽, 특히 두 번째와 세 번째 중수골 기저부가 수근골(carpal bone)과 만나는 부분에 딱딱한 뼈 돌출(단단하며 움직이지 않는 혹)이 생기는 질환입니다. 이 돌기는 흔히 피부 아래에서 만져지며, 때로는 통증이나 기능 장애를 동반할 수 있습니다.
♼ 원인
정확한 발생 원인은 미상이나, 외상(손상), 반복적인 손목의 움직임(스포츠, 작업 등), 선천적 부골(Os styloideum)과 관련이 있습니다.
연령적으로는 주로 20~40세에 발생합니다.
일반적으로, 카팔 보싱(carpal bossing)은 골관절염과 관련이 없으며, 원인이 명확하게 밝혀지지 않은 단독 질환입니다.
※Os styloideum은 손목의 부골(accessory ossicle) 중 하나로, 주로 두 번째와 세 번째 중수골의 기저부 사이, 그리고 작은마름뼈(trapezoid)와 알머리뼈(capitate) 사이에 위치하는 작은 뼈 조각입니다. 일반적으로 움직이지 않으며, 정상 해부학적 변이로 간주됩니다.
♼ 증상
손목 뒤쪽에 단단하고 움직이지 않는 혹이 만져짐
대부분 통증은 없으나, 손목 움직임 시에 통증, 불편감, 압통이 있을 수 있음
손가락을 펼치는 힘줄(신전건)에 자극이 가해져 스냅 현상(건이 튀는 느낌)이 나타나기도 함
손목 운동 시 통증 또는 운동 제한이 있을 수 있음.
♼ 진단
신체 검진: 혹의 위치, 크기, 압통 여부 평가
영상의학 검사: X-ray, CT, MRI로 단단한 뼈 돌출 확인 및 감별
♼ 감별진단
Ganglion cyst(결절종): 관절에서 발생하는 액체가 찬 혹으로, boss와 달리 부드럽게 만져지고 움직임이 있을 수 있음
건초염, 골절, 종양(양성/악성) 및 다른 손목 부위의 연부조직 질환 등과 구별 필요.
♼ 치료
♦무증상일 경우: 특별한 치료 없이 경과 관찰, 생활습관 개선 권장
♦통증이나 기능 장애 시
보존적 치료: 손목 보호대(고정), 진통 및 항염증제(NSAIDs), 물리치료, 충격파 치료
주사 치료: 스테로이드 국소 주사(효과 제한적)
수술적 치료: 뼈 돌출 부위(카팔 보스) 절제술, 증상이 심하거나 보존적 치료에 반응하지 않을 때
♼ 예후
대부분의 경우 증상 없이 경과하거나, 보존적 치료로 호전됩니다.
수술적 치료를 받을 경우 대부분 합병증 없이 통증이 해소. 드물게 복합성 국소 통증 증후군(CRPS)과 같은 합병증이 생길 수 있으며, 신속한 치료로 대부분 회복됩니다.
재발하거나 보존적 치료에 반응하지 않는 일부에서는 반복 절제술이나 관절 유합술(arthrodesis) 필요할 수 있습니다.
⚑ 손목 돌기 증후군은 손목 뒤쪽의 뼈 돌출로, 대부분 특별한 증상이나 위험 없이 지내지만, 통증 등 증상이 있을 시 적절한 치료가 필요합니다. 증상, 진단, 치료 모두에서 감별진단이 중요하며, 대부분 경과가 양호합니다.
'정형외과 > 수부 관절' 카테고리의 다른 글
가시, 유리 파편등 이물질(Foreign body) (17) | 2025.09.21 |
---|---|
복서 골절(Boxer's fracture) (18) | 2025.08.13 |
게임키퍼 무지(Gamekeeper's thumb) 또는 스키어 엄지(Skier's thumb) (19) | 2025.08.10 |
삼각섬유연골복합체(TFCC)손상 (11) | 2025.08.06 |
손가락 내연골종 (5) | 2025.08.03 |