반월상 연골판은 무릎 관절 내에 위치한 반달 모양의 연골로, 무릎 뼈 사이에서 충격을 흡수하고 무릎 관절을 안정시키는 역할을 합니다. 이 연골이 찢어지거나 손상된 상태를 반월상 연골판 파열이라고 합니다.
♼ 원인
외상에 의한 손상: 운동 중 방향 전환이나 무릎에 비틀림, 충격이 가해질 때 발생합니다. 축구, 농구 등 과격한 운동에서 흔합니다.
퇴행성 변화: 나이가 들면서 연골이 약해져 작은 압력에도 손상이 생길 수 있습니다.
무릎을 많이 구부리는 자세, 쪼그려 앉는 행동 등이 진행성 손상을 촉진합니다.
내측 연골판과 외측 연골판 중 내측 연골판 파열이 더 흔합니다.
♼ 증상무릎 통증과 부기
무릎을 완전히 펴거나 굽히기 어려움
무릎에서 '뚝' 소리나 느낌
무릎이 잠기는 증상(잠김 현상)
관절 불안정감 및 걷기 어려움
♼ 진단
1.신체검사(이학적 검사)
무릎 관절의 통증 부위 압통 검사를 통해 손상 부위 추정
대표적인 검사 방법:
맥머레이(McMurray) 검사: 누운 상태에서 무릎을 90도 구부린 후 다리를 안쪽과 바깥쪽으로 돌리면서 통증이나 딱딱 소리가 나는지 확인하는 검사
애플리(Apley) 검사: 엎드린 상태에서 무릎을 90도로 굽힌 후 압박 및 회전을 통해 통증 유발 여부 확인
웅크리기 검사: 서서 쪼그려 앉았다 일어설 때 통증이나 무릎 잠김 상태 평가
2.영상 진단
X-선 검사: 연골판 자체는 보이지 않지만, 다른 무릎 질환 및 관절염 유무 확인용
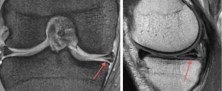
MRI(자기공명영상): 반월상 연골판 파열 진단에 가장 정확한 검사이며, 파열 정도와 위치, 동반 손상 여부를 확인
MRI는 진단 정확도가 약 90~95%에 이릅니다.
3. 관절경 검사
직접 관절 내시경을 무릎에 삽입해 연골판 손상 부위를 시각적으로 확인하고 동시에 치료(봉합, 절제 등)를 할 수 있는 검사 겸 치료법입니다.
♦ 파열 유형
♼ 치료
1.보존적 치료
초기에 통증과 부종을 줄이기 위한 안정과 휴식이 중요합니다.
압박 붕대, 부목, 소염진통제 등을 사용하여 급성 증상을 완화합니다.
급성기가 지나면 무릎 관절 운동과 근육 강화 운동을 병행하여 기능 회복을 돕습니다.
물리치료, 체외충격파 치료, 증식 주사(프롤로테라피) 등 보조적 치료가 도움이 될 수 있습니다.
증상이 경미하고 파열 범위가 작을 경우 보존적 치료만으로 회복을 기대할 수 있습니다.
2.수술적 치료
일상생활에 큰 지장을 주는 통증, 무릎 잠김, 관절 불안정, 지속적인 신전 제한 등이 있을 때 시행합니다.
봉합술: 파열 부위가 혈액 공급이 가능한 경우 파열 연골판을 봉합하여 보존하려는 시도
절제술: 재생이 어렵고 봉합이 불가능한 파열 부위는 파열된 연골판을 부분적으로 제거하는 방법
연골판 이식술: 심한 손상이나 봉합이 어려운 경우 동종 연골판을 이식하는 수술
⚑ 조기에 적절한 치료를 하면 무릎 기능을 대부분 회복할 수 있습니다. 치료를 미루면 퇴행성 관절염 등 합병증이 발생할 수 있습니다.
'정형외과 > 무릎 관절' 카테고리의 다른 글
무릎 전방 십자인대 파열(Anterior Cruciate Ligament rupture) (39) | 2025.09.17 |
---|---|
원판형 연골판 (Disoid meniscus) (48) | 2025.08.27 |
무릎 연골 연화증(Chondromalacia) (67) | 2025.08.19 |
무릎 관절 삼출액 (Knee joint effusion) (33) | 2025.08.15 |
무릎뼈 힘줄염(슬개건염, Patellar tendintis, Jumper's knee) (10) | 2025.08.05 |