전방십자인대는 무릎 안쪽에 위치한 두 개의 교차된 인대 중 하나로, 대퇴골(허벅지뼈)과 경골(정강이뼈)을 연결하여 무릎의 앞뒤 방향 안정성을 유지하는 역할을 한다.
무릎 굴곡 30°와 90°에서 경골이 앞으로 이동하는 것을 주로 막아 무릎이 과도하게 움직이는 것을 방지하며, 무릎에서 가장 자주 손상되는 인대이다.

♼ 발생빈도
특히 축구, 농구, 배드민턴 같은 스포츠에서 급격한 방향 전환, 점프 후 착지 시 회전력 등에 의해 손상되며, 스포츠 손상 중 가장 빈도가 높은 부상이다.


전체 무릎 부상 중 전방십자인대 손상이 차지하는 비율이 상당히 높다.
♼ 주요 원인
무릎이 갑자기 뒤틀리거나 급정지, 방향 전환하는 동작 중 발생.
점프 후 착지 시 무릎이 꺾이거나 충격 받을 때.
운동 중 비틀림, 충돌, 넘어짐 등 외상에 의한 직접적 손상.
무릎 과굴곡, 내반, 외반력이 가해질 때 손상 위험 상승.
♼ 증상
'뚝' 하는 파열음 또는 감각.
무릎 내 출혈 및 부종, 심한 통증.

무릎을 움직이기 어렵고 체중 부하 시 통증 및 불안정감.

시간이 지나면 통증과 부기는 감소하지만, 무릎이 덜렁거리거나 빠지는 느낌이 지속됨.
♼ 진단 방법 및 영상검사
신체검사: 전방전위 검사(앞에서 경골이 앞으로 밀리는 정도 관찰), 흔들림 검사(래그 테스트 등) 시행.




영상검사: MRI가 가장 정확하며 인대 손상 정도, 반월상 연골판, 기타 동반 손상 확인에 필수적.

단순 방사선 검사(X-ray)는 골절 여부 확인에 사용되며 인대 파열 직접 확인에는 한계가 있음.
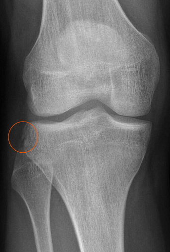
※Segond fracture는 외측 경골과 상부 외측 경골 플래토(lateral tibial plateau)의 작은 관절면에서 발생하는 견열 골절(avulsion fracture)이며, 무릎 외측에 위치한 인대와 관절낭의 부착부가 분리되는 형태입니다.
Segond fracture와 ACL 파열(rupture)의 연관성
Segond fracture는 거의 75~100%의 경우에서 ACL 파열과 동반되어 나타나며, ACL 손상의 특징적인 방사선학적 징후(pathognomonic sign)로 간주됩니다.

♼ 치료
부분 파열이나 불안정성이 적은 경우 보존적 치료(물리치료, 근력 강화, 운동 제한) 우선.
완전 파열, 활동성 많거나 스포츠 복귀 희망 시 수술적 인대 재건술 시행.

수술 후 재활치료 중요하며, 수개월간 근력 강화와 운동 범위 회복 필요.

수술 방법은 자가건 또는 타가건 이식을 이용하며, 숙련된 의사와 치료 계획 수립 필수.
♼ 재활
♦1~2주 (초기 회복기)
통증과 부종 조절이 최우선이며, 냉찜질과 물리치료 병행.
점진적 목발 보행 시작.
수동적 완전 신전(무릎 펴기) 운동과 제한된 굴곡(무릎 굽히기, 90도 이내) 운동 실시.
대퇴사두근 등척성 수축 운동으로 근위축 방지.
♦3~6주 (운동 범위 회복 및 근력 강화기)
무릎 굴곡 각도 90도 이상 회복 목표.
통증 없는 범위 내에서 보조적인 무릎 운동 및 근력 강화 시작.
고유수용감각 훈련 및 심폐 지구력 향상 운동 포함.
점진적 체중 부하 허용 with 목발 점차 줄임.
♦7~12주 (본격 근력 강화 및 기능 회복기)
완전 신전과 130도 이상의 굴곡 달성 목표.
정상 보행 가능하며 보조기 착용 지속.
다양한 근력 운동 및 균형, 균형 잡기, 기능적 운동 시작.
스포츠 특이적 훈련 준비 시작.
♦3~6개월 (스포츠 복귀 준비)
근력 70~90% 회복 목표 (건측 대비).
가벼운 조깅, 플라이오메트릭 운동 등 점진적 운동 강도 증가.
스포츠 특이 훈련 집중.
♦6개월 이상
대부분의 환자가 스포츠 활동 복귀 가능.
무릎 기능 정상화 및 추가 손상 예방 위해 꾸준한 근력 및 기능 유지 필요.


♼ 예후
적절한 치료와 재활 시 좋은 기능 회복 가능.
수술하지 않고 방치 시 관절 불안정성으로 인한 2차 손상(반월판, 연골 손상)과 조기 관절염 위험 높음.
프로 운동선수도 수술 후 복귀 사례가 많으며, 꾸준한 재활이 회복의 열쇠.
⚑ 무릎 전방십자인대는 무릎 안정성에 핵심적 역할을 하는 인대로, 스포츠 활동 중 회전력이나 충격으로 자주 손상된다. 빠른 진단을 위한 신체검사와 MRI, 손상 정도에 따른 보존적 혹은 수술적 치료가 필요하며, 재활 치료를 통해 기능 회복과 2차 손상 예방이 중요하다.
'정형외과 > 무릎 관절' 카테고리의 다른 글
| 반월상 연골판 파열(meniscus injury) (34) | 2025.09.06 |
|---|---|
| 원판형 연골판 (Disoid meniscus) (48) | 2025.08.27 |
| 무릎 연골 연화증(Chondromalacia) (67) | 2025.08.19 |
| 무릎 관절 삼출액 (Knee joint effusion) (33) | 2025.08.15 |
| 무릎뼈 힘줄염(슬개건염, Patellar tendintis, Jumper's knee) (10) | 2025.08.05 |